您当前的位置:武汉太医堂医院腋臭专科 > 痤疮 >

疾病搜索:

如何进行痤疮的检查诊断呢

  您是否意识到,痤疮是皮肤病,要治疗,还选专业机构权威!专业人士强调:发现痤疮,别拖延,科学选择正规皮肤病诊疗机构,很重要!来自湖北武汉的专业痤疮专科医院——武汉太医堂,拥有绿色痤疮诊疗之法,一对一为患者进行精确的就医与治疗,高效祛除痤疮、修复疾病疤痕,一次花费,实在享受美丽肌肤的重塑!

  那边,有关于痤疮,您真正了解多少?其实,不少的患者朋友对于痤疮,仅出于面子问题上的顾虑,很少有朋友能够意识到痤疮的诊断以及相关的基本认识,在此,武汉太医堂中医皮肤病研究院的专家教您如何进行痤疮的检查诊断吧!

  了解一下几点,认识痤疮的出现

  1、痤疮好发于青年男女。

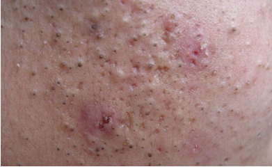
  3、痤疮皮疹初起多为非炎症性粉刺,可分开放性(黑头粉刺)和闭锁性(白头粉刺)二型。前者为与毛囊口相一致的淡黄色或皮色的圆椎形小丘疹,毛囊口充塞着小的皮脂栓塞,称为“脂栓”(即碎米粒样白色粉质);因顶端常为黑色,故称为黑头粉刺;挤压之,脂栓可被排出。后者为灰白色小丘疹,不易看到开口部,也不易挤出脂栓;以后粉刺可演变成米粒大小的红色毛囊丘疹(炎症性丘疹),其顶端有的可出现黄白色小脓胞;破溃或吸收后,遗留暂时性色素沉着或小凹状疤痕。严重者除粉刺、丘疹、脓疱外,可发展为结节、囊肿、脓肿等,破溃后常形成窦道或瘢痕。

  4、痤疮一般无明显自觉症状,较重者可有不同程度的疼痛及触痛。

  5、痤疮病程经过缓慢。青春期后大多数病人均能逐渐自愈或症状减轻。

  6、溴、碘所引起的痤疮样药疹 有服药史,没有典型的黑头粉刺,皮疹为全身性,发病无年龄的限制。

  7、职业性痤疮 与焦馏油、机器油、石油、石蜡、氯萘等化合物接触的工作人员可引起痤疮样皮疹,通常与职业有关,同时工作的人员往往都发生相同的损害,损害往往很密,常发生在接触部位,如手背、前臂、肘部等处。

  8、酒渣鼻多见于中年人,皮疹只发生在面部,以中央部多见,常伴有毛细胞血管扩张。

  9、颜面性粟播散粒狼疮损害多为暗红色或带棕黄色的丘疹及小结节。在眼睑下缘皮损呈堤状排列,玻片压诊可见苹果酱色改变,损害与毛囊并不一致。

  通过武汉太医堂中医皮肤病研究院的专家介绍,相信您对于痤疮的相关知识,有了一定的认识!同时,专家提醒广大的患者朋友,痤疮出现危害大,烦恼多,请慎重的选择以及正确的选择医院进行治疗,避免疾病的加重,而有关于痤疮出现的更多因素,不凡登录医院的官网了解!

看完本文后

武汉太医堂皮肤病专科地址:武汉市汉口江岸区香港路56号(武汉香港路苗栗路天桥旁)
武汉太医堂皮肤病专科电话:027-8289-5555 咨询QQ:2245571455
沪ICP备09083361号 版权所有:武汉太医堂皮肤病专科
本网站信息仅供参考,不能作为诊疗及医疗依据